Veterinary MRI

Vet-MR

The Most Flexible Small Animal Veterinary MRI

In-Office Small Animal MRI System

Vet-MR Small Animal MRI

The Vet-MRI system is uniquely designed to bring diagnostic MRI excellence to small animal imaging with remarkable cost effectiveness and ease of use.

The ability to offer animal MRI imaging on-site means you are able to offer a "one-stop shop" to your clients in order to diagnose and treat their animals in a more efficient and timely manner.

Pet positioning is extremely fast using continuous visuaIization features. Pet monitoring is very easy as the animal is easily accessible during examination reducing any risk for the patient. Vet MR allows you to use existing anesthesia equipment.

Read More...
Vet-Mr inCage.jpg

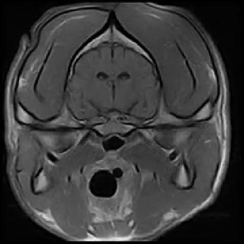
Vet-MR Clinical Images

The system covers imaging of the equine foot, pastern, fetlock, and carpus

html5 video converter by EasyHtml5Video.com v3.9.1

Vet MR Scan Suite Layout

Basic Site Requirements:

  • Power Requirements:
  • llOV Dedicated Line
  • Total System Wt: 2777 lbs
  • RF Shielding: Integrated in System
  • Temperature: 68° - 78° F
  • Heat Output: 1365 BTU/hr
 

Universal Systems Diagnostics Inc,
6655 Parkland Blvd., Suite 200, Solon, OH 44139

PH/ 440-252-5551  Email